Last week (April 24th, 2012), a case of Bovine Spongiform Encephalopathy (BSE) was identified in a single animal in Central California. This case, recorded in a dairy cow, is the 4th ever case in the USA and was discovered through the USDA’s BSE Surveillance Program, which is a very stringent system allowing officials to detect the disease at very low levels. The USDA is still investigating the case but the appropriate measures have already been taken, and the affected animal did not enter the human food chain, therefore preventing any spread to people. Furthermore, the affected cow’s progeny has been tracked down and is currently being tested for the disease and the dairy farm where the animal originated is under quarantine. The Department further emphasized that beef is still safe to consume.
The disease, commonly known as Mad Cow, is caused by abnormal molecules called prions that, once ingested, travel to the animals’ brains causing degenerative changes leading to neurologic signs such as tremors, incoordination or seizures. The disease is not infectious and does not transmit from a live animal to another animal. However, transmission can occur through ingestion of parts of affected animal that contain the prion, such as the brain or spinal cord tissue. This is why BSE has traditionally been associated with a practice consisting of feeding beef-based diets to cows, in order to promote protein intake. This practice is, however, illegal now in most countries, including the US and that has led to a decrease in BSE worldwide.

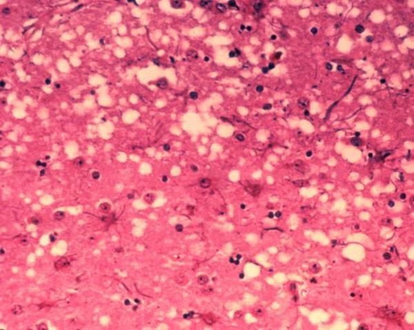
BSE causes degenerative changes in the patient’s brain, characterized by vacuole formation (http://www.sciencedaily.com)
Transmissible spongiform encephalopathies can nevertheless appear spontaneously in some animals, although very rarely, and it appears that this is what happened in this case. Similar diseases exist in other animal species such as Scrapie in sheep or Chronic Wasting Disease (CWD) in wild deer. Whether or not these diseases can be transmitted to humans remain unclear.
People eating beef containing nervous tissues (brains, spinal cord) of a cow with BSE can a disease called variant Creutzfeldt-Jakob Disease (vCJD) and is closely related to the human-only disease Creutzfeldt-Jakob Disease (CJD). Symptoms of vCJD are very similar to those of BSE in cows and can include tremors, confusion, dementia or difficulty walking. There is unfortunately no treatment or cure for the disease and one of the challenges (in both animals and people) is that the incubation period (amount of time until symptoms appear after exposure) can be very long and it can take decades for the disease to manifest itself.
This case was very promptly detected by the USDA during routine testing and shows the importance of continued disease monitoring like BSE. Although very rare however, they can cause significant public health problems and also critically injure a country’s agriculture. Sometimes, the public opinion is to cut resources for disease monitoring programs that have not detected any disease for some time. However, the fact that such programs do not observe any positive does not reflect failure or lack of usefulness. On the contrary, if we stop looking for these diseases we might miss the next epidemic.

Michael Alpers presenting the movie “Kuru – Science and Sorcery” at the One Health Congress in Melbourne, Australia about his pioneer work leading to the discovery of prion diseases
More information:

Leave a comment